Urethra is a tube that extends from bladder to the top of the penis, urine from the bladder pass through urethra before it comes out of our body. In men, urethra also has an important role in ejaculation. Stricture urethra is a disease in which urethra get blocked due to scar. Scar occurs due to injury , infection and in most times it occurs for unknown reasons .
When a stricture narrow enough to decrease urine flow , you will have symptoms . You will have thin stream of urine , sometimes stream may be so thin like a thread . You may develop recurrent infection ( urinary tract infection ) and infection of testis ( epididymo orchitis ) prolonged severe blockage can damage the kidney and result in failure of both kidneys.
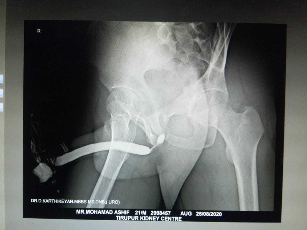
This test is done to access the length severity of narrowing of urethra.., done as an out patient procedure . Retrograde means the dye ( contrast is fluid that can be visualized in x-ray ) is injected ' against the flow ' of urine . syringe loaded with contrast is placed at the tip of penis , slowly injected into urethra , x-ray is taken , so that entire length of urethra is visualized in x-ray

When a stricture narrow enough to decrease urine flow , you will have symptoms . You will have thin stream of urine , sometimes stream may be so thin like a thread . You may develop recurrent infection ( urinary tract infection ) and infection of testis ( epididymo orchitis ) prolonged severe blockage can damage the kidney and result in failure of both kidneys.
Cutting the stricture portion of urethra with a knife or laser with the help of urethroscope, passed via natural urinary passage
Two types of surgery commonly performed
When a stricture length is less than 1 cm , that portion is completely removed and the remaining two ends are joined .
When a narrow portion extends for more than 1 cm , we cannot remove it so this entire narrow portion of the tube is split open vertically and buccal mucosal graft is taken from your inner part of cheek and placed over the cut portion and fixed so that narrow portion get widened with this patch of buccal mucosa ( imagine patching the cycle tube ) In both the surgeries, a tube ( catheter) will placed in urethra for three to four weeks .
Currently there are no drugs available to help treating strictures .
INTRODUCTION : A UTI is when bacterio or virus get into your urine travels upto bladder . About 40 % of women and 10% of men develop UTI atleast once in there lifetime

The main symptoms is burning sensation while passing urine. Other symptoms are lower abdominal pain , increased frequency of urination , blood in urination and foul smelling urine . Infection of kidneys will present with severe symptoms like high grade fever with chills and back pain. Infection in the kidney should be treated promptly of neglected infection can quickly spread to blood stream and cause a life threatening health issues .
UTI can be found by analysing a urine sample. Urine is examined under microscope for bacteria and white blood cells, which are signs of infection. Your doctor may also ask for urine culture , which will reveals what kind of bacteria is present in urine , what drugs will kill the bacteria completely.
Your doctor are another healthcare worker will give you a container and explain how you should collect the sample
There are two types of UTI simple and complicated .
Occur in healthy individuals with normal urinary tract
This type of UTI occur elderly, diabetic and whose immunity is compromised due to any cause. Also when urinary tract is blocked due to any reason you may develop complicated UTI in most women have simple UTI , but UTI in men and children are move likely to be completed
Simple UTI can be treated with a short course of antibiotics a three days course of antibiotics will often treat most simple UTI sometimes you may need to take for five days
If the UTI is complicated, then a longer course of antibiotics needed – usually for fourteen days. If kidney got infected most of the time intravenous antobiotics are needed atleast for intial 5-7 days . Most important is your urologist evaluate you in detail once your infection is cleared this is to identify any abnormality in the urinary tract to treat it so that further infection are prevented